Anti CD44 Antibodies
CD44 is a transmembrane glycoprotein expressed in various cell types, including endothelial cells, epithelial cells, and fibroblasts. It serves as a receptor for hyaluronic acid (HA). The human CD44 gene consists of 19 exons. Alternative splicing gives rise to the smallest standard form of CD44 (CD44s), which consists of 10 constant exons (the first five and the last five), and to CD44 variants (CD44v), which contain combinations of nine variable exons in addition to the constant exons. Both CD44s and CD44v are widely used as markers for cancer stem cells and are involved in the regulation of cancer cell behavior through their interactions with hyaluronic acid. In particular, CD44v has been implicated in promoting tumor growth, metastasis, and the activation of intracellular signaling pathways.
What is CD44?
CD44 is a transmembrane glycoprotein expressed in various cell types, including endothelial cells, epithelial cells, and fibroblasts. It serves as a receptor for hyaluronic acid (HA). The human CD44 gene consists of 19 exons. Alternative splicing gives rise to the smallest standard form of CD44 (CD44s), which consists of 10 constant exons (the first five and the last five), and to CD44 variants (CD44v), which contain combinations of nine variable exons in addition to the constant exons (Figure 1). Both CD44s and CD44v are widely used as markers for cancer stem cells and are involved in the regulation of cancer cell behavior through their interactions with hyaluronic acid. In particular, CD44v has been implicated in promoting tumor growth, metastasis, and the activation of intracellular signaling pathways.

Product Lineup
Fujifilm Wako offers mouse monoclonal antibodies specific to each human CD44 variant.
| CD44 | s | v3 | v4 | v5 | v6 | v7/v8 | v8 | v9 | v10 |
|---|---|---|---|---|---|---|---|---|---|
| Product No. | 015-28991 | 012-29001 | 019-29011 | 016-29021 | 013-29031 | 010-29041 | 017-29051 | 014-29061 | 011-29071 |
| Clonality | Monoclonal | ||||||||
| Clone No. | C44Mab-46 | C44Mab-6 | C44Mab-108 | C44Mab-3 | C44Mab-9 | C44Mab-34 | C44Mab-94 | C44Mab-1 | C44Mab-18 |
| Antigen | Purified CD44v3-10 ectodomain |
CD44v3-10 expressed CHO cells |
KLH-conjugate CD44v4 peptide |
CD44v3-10 expressed CHO cells |
CD44v3-10 expressed CHO cells |
Purified CD44v3-10 ectodomain |
CD44v3–10 expressed PANC-1 cells |
CD44v3-10 expressed CHO cells |
CD44v3-10 expressed PANC-1 cells |
| Host | Mouse | ||||||||
| Formulation | PBS、0.1 % sodium azide | ||||||||
| Concentration | 1.0 mg/mL | ||||||||
| Subclass | IgG1・κ | IgM・κ | |||||||
| Conjugate | Unconjugated | ||||||||
| Cross-reactivity | Human | ||||||||
| Application | FCM IHC: 5 μg/mL WB: 1 μg/mL |
FCM IHC: 1 μg/mL WB: 10 μg/mL |
ELISA: 1 μg/mL IHC: 10 μg/mL WB: 10 μg/mL |
ELISA: 10 μg/mL FCM IHC: 1 μg/mL WB: 10 μg/mL |
ELISA FCM IHC: 1 μg/mL WB: 10 μg/mL |
ELISA: 10 μg/mL FCM IHC: 10 μg/mL WB: 10 μg/mL |
ELISA: 10 μg/mL FCM IHC: 5 μg/mL WB: 10 μg/mL |
ELISA: 10 μg/mL FCM IHC: 1 μg/mL WB: 10 μg/mL |
ELISA: 1 μg/mL FCM IHC: 1 μg/mL WB: 10 μg/mL |
Application Data
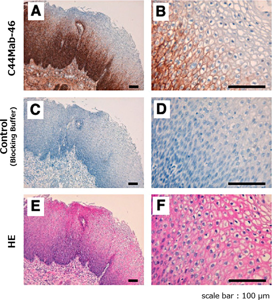
Anti CD44s, Monoclonal Antibody (C44Mab-46)
Immunohistochemistry
Sample : Esophageal squamous cell carcinoma
Antibody concentration : 5 μg/mL
Western Blotting
Sample : CHO cells
(CHO/CD44s is the forced expression of human CD44s)
Antibody concentration : 1 μg/mL
The data for immunohistochemistry, flow cytometry and Western blotting are reproduced from reference 1) under CCBY 4.0.
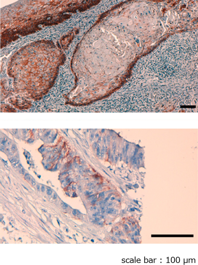
Anti CD44v6, Monoclonal Antibody (C44Mab-9)
Immunohistochemistry
Sample : Oral squamous cell carcinoma
Antibody concentration : 1 μg/mL
The data for immunohistochemistry is reproduced from reference 2)
under CCBY 4.0.
Anti CD44v9, Monoclonal Antibody (C44Mab-1)
Immunohistochemistry
Sample : Colorectal cancer / Normal colon
Antibody concentration : 1 μg/mL
The data for immunohistochemistry is reproduced from reference 3)
under CCBY 4.0.
References
- Goto, N. et al.: int. J. Mol. Sci., 23(10), 5535(2022).
Development of a Novel Anti−CD44 Monoclonal Antibody for Multiple Applications against Esophageal Squamous Cell Carcinomas - Ejima, R. et al.: Int. J. Mol. Sci., 24(4), 4007(2023).
Development of a novel anti-CD44 variant 6 monoclonal antibody C44Mab-9 for multiple applications against colorectal carcinomas - Tawara, M. et al.: Curr. Issues Mol. Biol., 45(4), 3658(2023).
A novel anti-CD44 variant 9 monoclonal antibody C44Mab-1 was developed for immunohistochemical analyses against colorectal cancers
Product List
- Open All
- Close All
Anti CD44, Monoclonal Antibodies
For research use or further manufacturing use only. Not for use in diagnostic procedures.
Product content may differ from the actual image due to minor specification changes etc.
If the revision of product standards and packaging standards has been made, there is a case where the actual product specifications and images are different.