Anti CD44v6, Monoclonal Antibody (C44Mab-9)
- for Immunochemistry
- Manufacturer :
- FUJIFILM Wako Pure Chemical Corporation
- Storage Condition :
- Keep at -20 degrees C.
- Structural Formula
- Label
- Packing
- SDS
|
Comparison
|
Product Number
|
Package Size
|
Price
|
Availability
|
Certificate of Analysis
|
Purchase |
|---|---|---|---|---|---|---|
|
|
|
100ug
|
|
In stock in Japan |
※Check availability in the US with the distributor.
Document
Product Overview
CD44 is a transmembrane glycoprotein expressed in various cell types, including endothelial cells, epithelial cells,and fibroblasts. It serves as a receptor for hyaluronic acid (HA). The human CD44 gene consists of 19 exons. Alternative splicing gives rise to the smallest standard form of CD44 (CD44s), which consists of 10 constant exons (the first five and the last five), and to CD44 variants (CD44v), which contain combinations of nine variable exons in addition to the constant exons. CD44v6 expresses exon v6. Both CD44s and CD44v are widely used as markers for cancer stem cells and are involved in the regulation of cancer cell behavior through their interactions with hyaluronic acid. In particular, CD44v has been implicated in promoting tumor growth, metastasis, and the activation of intracellular signaling pathways.
This product is a monoclonal antibody against human CD44v6. It is suitable for use in ELISA, flow cytometry, immunohistochemistry, and Western blotting.
Antibody Information
| Clonality | Monoclonal |
|---|---|
| Antigen | CD44v3-10 expressed CHO cells |
| Host | Mouse |
| Formulation | PBS, 0.1% sodium azide |
| Concentration | 1.0 mg/mL |
| Subclass | IgG1・κ |
| Conjugate | Unconjugated |
| Cross-reactivity | Human |
| Application | ELISA FCM IHC: 1 μg/mL WB: 10 μg/mL |
Application Data
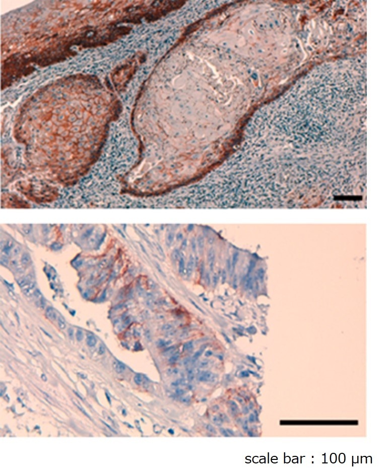
Immunohistochemistry

- Animal specie:
- Human
- Sample:
- Oral squamous cell carcinoma
- Antibody concentration:
- 1 μg/mL
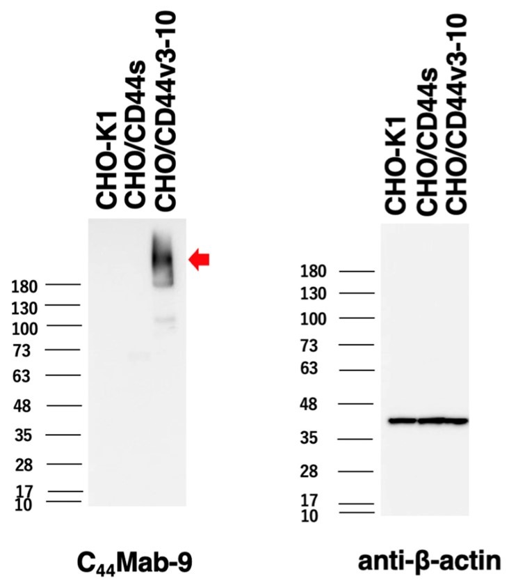
Western blotting

- Cell type:
- CHO cells
(CHO/CD44s is the forced expression of human CD44s, CHO/CD44v3-10 is the forced expression of human CD44v3-10) - Antibody concentration:
- 10 μg/mL
Note: The data for immunohistochemistry and Western blotting are reproduced from reference 1) under CCBY 4.0.
References
- Ejima, R. et al.: Int. J. Mol. Sci., 24(4), 4007(2023).
Development of a Novel Anti-CD44 Variant 6 Monoclonal Antibody C44Mab-9 for Multiple Applications against Colorectal Carcinomas
Overview / Applications
Property
| Concentration | Protein : 1.0mg/mL |
|---|
Manufacturer Information
Alias
For research use or further manufacturing use only. Not for use in diagnostic procedures.
Product content may differ from the actual image due to minor specification changes etc.
If the revision of product standards and packaging standards has been made, there is a case where the actual product specifications and images are different.