Anti CD44s, Monoclonal Antibody (C44Mab-46)
- for Immunochemistry
- Manufacturer :
- FUJIFILM Wako Pure Chemical Corporation
- Storage Condition :
- Keep at -20 degrees C.
- Structural Formula
- Label
- Packing
- SDS
|
Comparison
|
Product Number
|
Package Size
|
Price
|
Availability
|
Certificate of Analysis
|
Purchase |
|---|---|---|---|---|---|---|
|
|
|
100ug
|
|
In stock in Japan |
※Check availability in the US with the distributor.
Document
Product Overview
CD44 is a transmembrane glycoprotein expressed in various cell types, including endothelial cells, epithelial cells, and fibroblasts. It serves as a receptor for hyaluronic acid (HA). Alternative splicing gives rise to the smallest standard form of CD44 (CD44s), which consists of ten constant exons (the first five and the last five). CD44 is widely used as a marker for cancer stem cells.
This product is a monoclonal antibody against human CD44s. It is suitable for use in flow cytometry, immunohistochemistry and Western blotting.
Antibody Information
| Clonality | Monoclonal |
|---|---|
| Antigen | Purified CD44v3-10 ectodomain |
| Host | Mouse |
| Formulation | PBS, 0.1% sodium azide |
| Concentration | 1.0 mg/mL |
| Subclass | IgG1・κ |
| Conjugate | Unconjugated |
| Cross-reactivity | Human |
| Application | FCM IHC: 5 μg/mL WB: 1 μg/mL |
Application Data
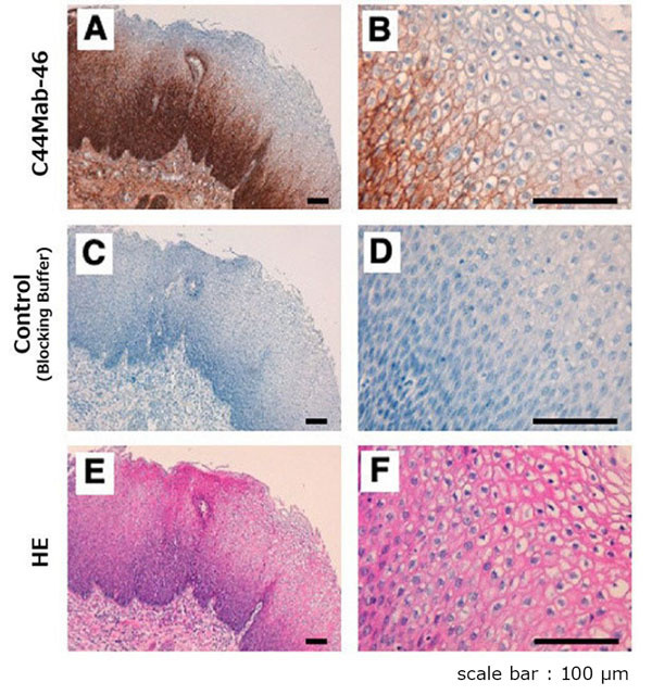
Immunohistochemistry

- Animal specie:
- Human
- Sample:
- Esophageal squamous cell carcinoma
- Antibody concentration:
- 5 μg/mL
Western blotting

- Cell type:
- CHO cells
(CHO/CD44s is the forced expression of human CD44s) - Antibody concentration:
- 1 μg/mL
Note: The data for immunohistochemistry and Western blotting are reproduced from reference 1) under CCBY 4.0.
References
- Goto, N. et al.: Int. J. Mol. Sci., 23(10), 5535(2022).
Development of a Novel Anti−CD44 Monoclonal Antibody for Multiple Applications against Esophageal Squamous Cell Carcinomas
Overview / Applications
Property
| Concentration | Protein : 1.0mg/mL |
|---|
Manufacturer Information
Alias
For research use or further manufacturing use only. Not for use in diagnostic procedures.
Product content may differ from the actual image due to minor specification changes etc.
If the revision of product standards and packaging standards has been made, there is a case where the actual product specifications and images are different.