FM Fix
Tissue fixation is a critical process for protecting biological samples from degradation due to autolysis or decay, ensuring the stable preservation of proteins and other tissue components. Although formalin fixation is widely used in research and pathology, particularly in preparing microscopic specimens, it can alter the tertiary structure and antigenicity of certain proteins, leading to diminished staining quality. Based on technology developed by Dr. Kazuhiro Furuhashi of the Department of Nephrology at Nagoya University Hospital, Fujifilm Wako has commercialized FM Fix, a tissue fixative that excels in preserving tissue morphology, antigenicity, and with excellent staining properties.
The Role and Challenges of Tissue Fixatives
Tissue fixation is a critical process for protecting biological samples from degradation due to autolysis or decay, ensuring the preservation of proteins and other tissue components. Although formalin fixation is widely used in research and pathology, particularly in preparing microscopic specimens, it can alter the tertiary structure and antigenicity of certain proteins, leading to diminished staining quality. Therefore, selecting the appropriate fixative based on the objectives of the study is crucial.
| Experimental Methods | Immunostaining | Optical Microscopy | Observation of reporters |
| Objectives | Preservation of antigenicity | Preservation of morphology | Preservation of fluorescent proteins |
| Tissue Fixation Methods |
![]() |
![]() |
![]() |
Product Overview
FM Fix is a tissue fixative that excels in preserving tissue morphology, antigenicity, and tissue staining properties. While this product is suitable for various tissue fixation purposes, it is particularly effective in preserving fluorescent proteins such as GFP. Furthermore, it is compatible with tissue clearing techniques.
| Preservation of antigenicity | Preservation of morphology | Preservation of fluorescent proteins | Preservation of antigenicity, morphology, and fluorescent proteins |
![]() |
![]() |
![]() |
![]() |
Product Lineup
FM Fix (L)
This fixative excels in preserving tissue morphology, tertiary structure, and tissue staining properties. After tissue fixation, the tertiary structure of proteins is well-maintained, enabling consistent detection of antigens such as complement proteins. Additionally, it minimizes the loss of signals from fluorescent proteins like GFP, making it suitable for use in tissue clearing techniques.
FM Fix (s)
FM Fix (s) is a fixative optimized for small tissue samples, such as those obtained from needle biopsies, and for tissues with high permeability, while retaining the fixative properties of FM Fix (L).
FM Fix (L)
FM Fix (L) is a fixative that achieves outstanding preservation of tissue morphology and three-dimensional structure, while having superlative staining characteristics. It helps maintain the native conformation of proteins even after fixation, allowing for consistent detection of antigens such as complement proteins. Furthermore, it minimizes signal attenuation of fluorescent proteins such as GFP, making it ideally suited for tissue clearing techniques.
Features
- Excellent preservation of tissue morphology, antigenicity, and superior staining characteristics
- Delivers staining performance equal to or greater than acetone fixation of frozen sections in fluorescent immunostaining of complement proteins
- Minimizes signal attenuation of fluorescent proteins such as GFP after fixation
- Compatible with tissue clearing techniques such as SeeDB2
- Suitable for fixation prior to RNA detection via in situ hybridization (ISH)
Data
Immunohistochemistry of Mouse Femur
Data by courtesy of Dr. Furuhashi, Department of Nephrology, Nagoya University Graduate School of Medicine

A fluorescently labeled anti-Sca1 antibody and Isolectin GS-IB4 were intravenously administered to a mouse. One hour later, perfusion fixation was performed using FM Fix (L). The femur was then harvested and post-fixed in FM Fix (L) for two days at 4 °C in the dark. After fixation, the sample underwent decalcification and sucrose treatment, was embedded in O.C.T. compound, and stored at −30 °C. Finally, the sample was cryosectioned to allow examination of the entire bone.
FM Fix (s)
FM Fix (s) is a fixative optimized for small tissue samples, such as those obtained from needle biopsies, and for tissues with high permeability, while retaining the fixative properties of FM Fix (L).
Features
- Optimized for small tissue samples, such as needle biopsies, and highly permeable tissues
- Excellent preservation of tissue morphology, antigenicity, and staining properties
- Tissues fixed with this product and subsequently cryopreserved can be thawed and subjected to periodic acid-Schiff (PAS), periodic acid-methenamine-silver (PAM), and Masson’s trichrome (MT) staining.
Data
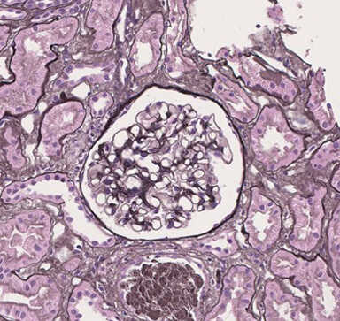
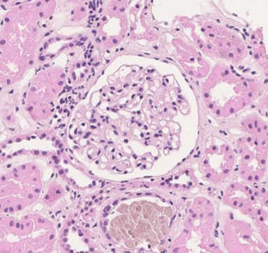
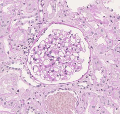
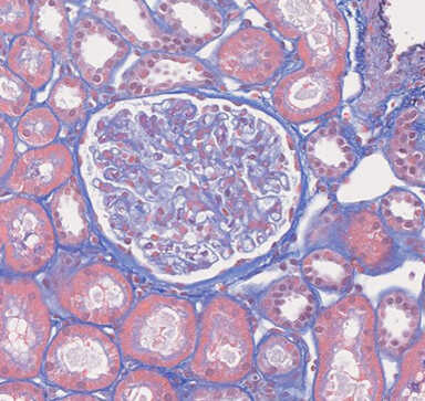
Histological Staining of Human Kidney Biopsy Samples
Data by courtesy of Dr. Furuhashi, Department of Nephrology, Nagoya University Graduate School of Medicine
Kidney tissue was collected using a 16 G biopsy gun and fixed with FM Fix (s) for one day at 4°C. After paraffin embedding and sectioning, hematoxylin and eosin (HE), periodic acid-Schiff (PAS), periodic acid-methenamine-silver (PAM), and Masson’s-trichrome (MT) staining were performed.
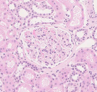
HE
![[HE] 10% Neutral buffered formalin](images/03340_img05.jpg)
![[HE] FM Fix (s)](images/03340_img06.jpg)
MT
![[MT] 10% Neutral buffered formalin](images/03340_img07.jpg)
![[MT] FM Fix (s)](images/03340_img08.jpg)
PAM
![[PAM] 10% Neutral buffered formalin](images/03340_img09.jpg)
![[PAM] FM Fix (s)](images/03340_img10.jpg)
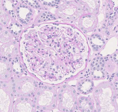
PAS
![[PAS] 10% Neutral buffered formalin](images/03340_img11.jpg)
![[PAS] FM Fix (s)](images/03340_img12.jpg)
[Result]
Tissue structure was better preserved with FM Fix (s) than with 10% neutral buffered formalin.
Fluorescent Immunohisto-chemical Staining of CX3CR1-GFP Mouse Kidney
Data by courtesy of Dr. Furuhashi, Department of Nephrology, Nagoya University Graduate School of Medicine
CX3CR1-GFP mice were intravenously injected with 30 μg of isolectin GS-IB4 conjugated to Alexa Fluor® 647. Thirty minutes post-injection, kidneys were harvested, sectioned into approximately 2-mm slices using a razor blade, and fixed in FM Fix (s) for 24 hours at 4°C in the dark. Following fixation, tissues were cryoprotected in 30% sucrose, embedded in O.C.T. compound, and stored at -30°C. Cryostat sections were air-dried for 1 hour, washed with 0.1% Triton, mounted using a DAPI-containing mounting medium, and examined under a microscope.
* Alexa Fluor® is a registered trademark of Invitrogen Corporation.
[Result]
FM Fix (s) preserved GFP fluorescence without attenuation, allowing signal detection without the need for anti-GFP antibodies.
Product List
- Open All
- Close All
For research use or further manufacturing use only. Not for use in diagnostic procedures.
Product content may differ from the actual image due to minor specification changes etc.
If the revision of product standards and packaging standards has been made, there is a case where the actual product specifications and images are different.







