エクソソーム, 間葉系幹細胞由来, 精製品
エクソソームをはじめとする細胞外小胞 (EV: Extracellular Vesicle) の実験では、マーカータンパク質の発現が確認されているEVをポジティブコントロールに使用することで、実験の成否を確認することができます。当社では、間葉系幹細胞/間葉系間質細胞 (MSC) の細胞培養上清からPSアフィニティー法で単離・精製したEVを販売しています。
本製品は2026年4月発売予定です。
製品概要
本製品は、骨髄由来MSC (BMMSC) の細胞培養上清からPSアフィニティー法で単離・精製した、高純度かつインタクトな細胞外小胞 (EV) です。EVマーカーであるCD9、CD63、CD81に加えて、MSC由来EVのマーカーとして知られるCD59およびCD73が陽性であることを確認しています。EV実験におけるポジティブコントロールやキャリブレーターとして使用することができます。
特長
- 高純度
- 高い安定性
- 非凍結乾燥 (溶液品)
- EVマーカー (CD9、CD63、CD81) 陽性
- MSC由来EVマーカー (CD59、CD73) 陽性
CD59およびCD73の発現はウエスタンブロッティングでのみ確認しています。
仕様
性状: 溶液
組成: EV、TBS、EDTA、ポリマー (安定化剤)
タンパク質濃度※: 10 μg/mL
※ 各製品のタンパク質濃度はCD63のシグナル値から算出
データ
NTA による粒子径解析
ナノサイトによるNanoparticle Tracking Analysis (NTA) により、本製品の粒子解析を行った。
[結果]
本製品は粒子径の均一性が高いことが確認できた。

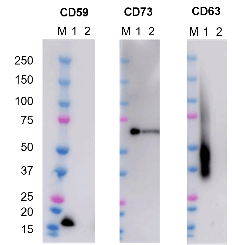
MSC由来EVマーカータンパク質の発現
本製品について、MSC由来EVのマーカータンパク質であるCD59とCD73とEVマーカータンパク質であるCD63の発現をウエスタンブロッティングで確認した。
[結果]
非還元条件のウエスタンブロッティングにおいて、MSC由来EVマーカータンパク質およびEVマーカータンパク質の発現が確認できた。

M : マーカー
1 : サンプル (非還元条件)
2 : サンプル (還元条件)
抗炎症活性の評価
0.25 EU/mLのLPSで刺激した培養単球に本製品を添加後、NF-κBシグナルを指標にした発熱性物質測定キットLumiMAT™ Pyrogen Detection Kitを用いて、本製品の抗炎症活性 (NF-κBシグナルの抑制) を評価した。
[結果]
本製品は濃度依存的な抗炎症活性を示した。

製品一覧
- 項目をすべて開く
- 項目をすべて閉じる
エクソソーム,間葉系幹細胞由来,精製品
- 掲載内容は本記事掲載時点の情報です。仕様変更などにより製品内容と実際のイメージが異なる場合があります。
- 掲載されている製品について
- 【試薬】
- 試験・研究の目的のみに使用されるものであり、「医薬品」、「食品」、「家庭用品」などとしては使用できません。
- 試験研究用以外にご使用された場合、いかなる保証も致しかねます。試験研究用以外の用途や原料にご使用希望の場合、弊社営業部門にお問合せください。
- 【医薬品原料】
- 製造専用医薬品及び医薬品添加物などを医薬品等の製造原料として製造業者向けに販売しています。製造専用医薬品(製品名に製造専用の表示があるもの)のご購入には、確認書が必要です。
- 表示している希望納入価格は「本体価格のみ」で消費税等は含まれておりません。
- 表示している希望納入価格は本記事掲載時点の価格です。