抗CD44抗体
CD44は内皮細胞、上皮細胞、線維芽細胞など、多くの細胞に発現する膜貫通型の糖タンパク質で、ヒアルロン酸の受容体として知られています。選択的スプライシングにより、最小形態のCD44標準型 (CD44s) と、それらに加えて9個の変異エクソンの組み合わせで構成されるCD44バリアント (CD44v) が存在し、いずれもがん幹細胞マーカーとして広く使用されています。CD44はヒアルロン酸との相互作用を介して、がん細胞の動態制御に関与しており、特にCD44vは腫瘍の増殖、転移、細胞内シグナル伝達経路を活性化させる役割があると報告されています。当社ではヒトCD44の各バリアントに対応したマウスモノクローナル抗体をラインアップしています。
CD44とは?
CD44は内皮細胞、上皮細胞、線維芽細胞など、多くの細胞に発現する膜貫通型の糖タンパク質で、ヒアルロン酸 (HA) の受容体として知られています。ヒトCD44遺伝子は19個のエクソンで構成されています。選択的スプライシングにより、最初の5個と最後の5個の計10個の定常エクソンによって構成される最小形態のCD44標準型 (CD44s) と、それらに加えて9個の変異エクソンの組み合わせで構成されるCD44バリアント (CD44v) が存在します (図1)。CD44sとCD44vは、どちらもがん幹細胞マーカーとして広く使用されており、ヒアルロン酸との相互作用を介して、がん細胞の動態制御に関与します。特にCD44vは腫瘍の増殖、転移、細胞内シグナル伝達経路を活性化させる役割があると報告されています。

製品ラインアップ
当社ではヒトCD44の各バリアントに対応したマウスモノクローナル抗体をラインアップしています。
| CD44 | s | v3 | v4 | v5 | v6 | v7/v8 | v8 | v9 | v10 |
|---|---|---|---|---|---|---|---|---|---|
| コードNo. | 015-28991 | 012-29001 | 019-29011 | 016-29021 | 013-29031 | 010-29041 | 017-29051 | 014-29061 | 011-29071 |
| 抗体種 | モノクローナル抗体 | ||||||||
| クローンNo. | C44Mab-46 | C44Mab-6 | C44Mab-108 | C44Mab-3 | C44Mab-9 | C44Mab-34 | C44Mab-94 | C44Mab-1 | C44Mab-18 |
| 抗原 | 精製CD44 v3-10 エクトドメイン |
CD44 v3-10発現 CHO細胞 |
KLH結合CD44v4 ペプチド |
CD44v3-10発現 CHO細胞 |
CD44v3-10発現 CHO細胞 |
精製CD44v3-10 エクトドメイン |
CD44v3–10発現 PANC-1細胞 |
CD44v3-10発現 CHO細胞 |
CD44v3-10発現 PANC-1細胞 |
| 免疫動物 | マウス | ||||||||
| バッファー | PBS、0.1% アジ化ナトリウム | ||||||||
| 濃度 | 1 mg/mL | ||||||||
| サブクラス | IgG1・κ | IgM・κ | |||||||
| 標識 | 未標識 | ||||||||
| 交差性 | ヒト | ||||||||
| アプリケーション | FCM IHC: 5 μg/mL WB: 1 μg/mL |
FCM IHC: 1 μg/mL WB: 10 μg/mL |
ELISA: 1 μg/mL IHC: 10 μg/mL WB: 10 μg/mL |
ELISA: 10 μg/mL FCM IHC: 1 μg/mL WB: 10 μg/mL |
ELISA FCM IHC: 1 μg/mL WB: 10 μg/mL |
ELISA: 10 μg/mL FCM IHC: 10 μg/mL WB: 10 μg/mL |
ELISA: 10 μg/mL FCM IHC: 5 μg/mL WB: 10 μg/mL |
ELISA: 10 μg/mL FCM IHC: 1 μg/mL WB: 10 μg/mL |
ELISA: 1 μg/mL FCM IHC: 1 μg/mL WB: 10 μg/mL |
データ
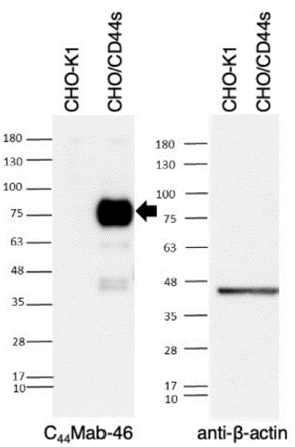
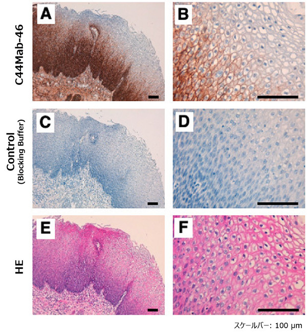
抗CD44s, モノクローナル抗体 (C44Mab-46)
免疫組織染色
組織 転移性食道扁平上皮がん
抗体濃度 5 μg/mL
ウエスタンブロッティング
細胞種 CHO細胞
(CHO/CD44sはヒトCD44sの強制発現系)
抗体濃度 1 μg/mL
免疫組織染色、ウエスタンブロッティングのデータはCCBY 4.0に基づいて、文献1)のデータを転載しています。
抗CD44v6, モノクローナル抗体 (C44Mab-9)
免疫組織染色
組織 口腔扁平上皮がん
抗体濃度 1 μg/mL
免疫組織染色のデータはCCBY 4.0に基づいて、文献2)のデータを転載しています。
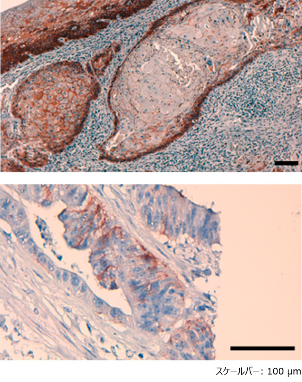
抗CD44v9, モノクローナル抗体 (C44Mab-1)
免疫組織染色
組織 結腸直腸がん/正常結腸
抗体濃度 1 μg/mL
免疫組織染色のデータはCCBY 4.0に基づいて、文献3)のデータを転載しています。
参考文献
- Goto, N. et al.: Int. J. Mol. Sci., 23(10), 5535(2022).
Development of a Novel Anti-CD44 Monoclonal Antibody for Multiple Applications against Esophageal Squamous Cell Carcinomas - Ejima, R. et al.: Int. J. Mol. Sci., 24(4), 4007(2023).
Development of a novel anti-CD44 variant 6 monoclonal antibody C44Mab-9 for multiple applications against colorectal carcinomas - Tawara, M. et al.: Curr. Issues Mol. Biol., 45(4), 3658(2023).
A novel anti-CD44 variant 9 monoclonal antibody C44Mab-1 was developed for immunohistochemical analyses against colorectal cancers
製品一覧
- 項目をすべて開く
- 項目をすべて閉じる
- 掲載内容は本記事掲載時点の情報です。仕様変更などにより製品内容と実際のイメージが異なる場合があります。
- 掲載されている製品について
- 【試薬】
- 試験・研究の目的のみに使用されるものであり、「医薬品」、「食品」、「家庭用品」などとしては使用できません。
- 試験研究用以外にご使用された場合、いかなる保証も致しかねます。試験研究用以外の用途や原料にご使用希望の場合、弊社営業部門にお問合せください。
- 【医薬品原料】
- 製造専用医薬品及び医薬品添加物などを医薬品等の製造原料として製造業者向けに販売しています。製造専用医薬品(製品名に製造専用の表示があるもの)のご購入には、確認書が必要です。
- 表示している希望納入価格は「本体価格のみ」で消費税等は含まれておりません。
- 表示している希望納入価格は本記事掲載時点の価格です。