抗CD44v10, モノクローナル抗体 (C44Mab-18)
Anti CD44v10, Monoclonal Antibody (C44Mab-18)
|
比較
|
製品コード
|
容量
|
価格
|
在庫 / 納期目安
|
|
|---|---|---|---|---|---|
|
|
|
100μg
|
|
|
ドキュメント
製品概要
CD44は内皮細胞、上皮細胞、線維芽細胞など、多くの細胞に発現する膜貫通型の糖タンパク質で、ヒアルロン酸 (HA) の受容体として知られています。ヒトCD44遺伝子は19個のエクソンで構成されています。選択的スプライシングにより、最初の5個と最後の5個の計10個の定常エクソンによって構成される最小形態のCD44標準型 (CD44s) と、計9個の変異エクソンの組み合わせで構成されるCD44バリアント (CD44v) が存在し、CD44v10はエクソンv10が発現しています。CD44sとCD44vは、どちらもがん幹細胞マーカーとして広く使用されており、ヒアルロン酸との相互作用を介して、がん細胞の動態制御に関与します。特にCD44vは腫瘍の増殖、転移、細胞内シグナル伝達経路を活性化させる役割があると報告されています。
本製品は、ヒトCD44v10に対するモノクローナル抗体です。ELISAやフローサイトメトリー、免疫組織染色、ウエスタンブロッティングに使用することができます。
抗体情報
| 抗体種 | モノクローナル抗体 |
|---|---|
| 抗原 | CD44v3-10発現PANC-1細胞 |
| 免疫動物 | マウス |
| バッファー | PBS、0.1 % アジ化ナトリウム |
| 濃度 | 1.0 mg/mL |
| サブクラス | IgM・κ |
| 標識 | 未標識 |
| 交差性 | ヒト |
| アプリケーション | ELISA 1 μg/mL フローサイトメトリー 免疫組織染色 1 µg/mL ウエスタンブロッティング 10 µg/mL |
第4回 抗体創薬学分野 研究成果紹介 : CD44v10を標的とした口腔がんの抗体治療
(YouTube 8:24)
※ 東北大学 加藤 幸成先生の許可を頂き、掲載しております。
データ
アプリケーションデータ
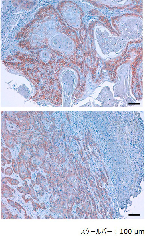
免疫組織染色

- 動物種
- ヒト
- 組織
- 口腔扁平上皮がん
- 抗体濃度
- 1 μg/mL
ウエスタンブロッティング

- 細胞種
- CHO細胞
(CHO/CD44sはヒトCD44sの強制発現系、CHO/CD44v3-10はヒトCD44v3-10の強制発現系) - 抗体濃度
- 10 μg/mL
※ 免疫組織染色、ウエスタンブロッティングのデータはCCBY 4.0に基づいて、文献1) のデータを転載しています。
参考文献
-
Ishikawa, K. et al.: Curr. Issues Mol. Biol., 45(7), 5248(2023).
Establishment of a Novel Anti-CD44 Variant 10 Monoclonal Antibody C44Mab-18 for Immunohistochemical Analysis against Oral Squamous Cell Carcinomas
概要・使用例
| 概要 | CD44は、内皮細胞、上皮細胞、線維芽細胞などの多くの細胞型に発現する膜貫通糖タンパク質です。 CD44は選択的スプライシングにより、10個の定常エクソンによる最小形態のCD44標準型(CD44s)と、それらに加えて9個の変異エクソンの組み合わせで構成されるCD44バリアント(CD44v, pan-CD44)が存在します。 CD44sとCD44vは、どちらもがん幹細胞マーカーとして広く使用されます。リガンドであるヒアルロン酸(HA)と相互作用を介して、がん細胞の動態制御に関与します。腫瘍の増殖、転移、細胞内シグナル伝達経路の活性化の役割を果たすと報告されています。 |
|---|
物性情報
「物性情報」は参考情報でございます。規格値を除き、この製品の性能を保証するものではございません。
本製品の品質及び性能については、本品の製品規格書をご確認ください。
なお目的のご研究に対しましては、予備検討を行う事をお勧めします。
製造元情報
別名一覧
- 掲載内容は本記事掲載時点の情報です。仕様変更などにより製品内容と実際のイメージが異なる場合があります。
- 製品規格・包装規格の改訂が行われた場合、画像と実際の製品の仕様が異なる場合があります。
- 掲載されている製品について
- 【試薬】
- 試験・研究の目的のみに使用されるものであり、「医薬品」、「食品」、「家庭用品」などとしては使用できません。
- 試験研究用以外にご使用された場合、いかなる保証も致しかねます。試験研究用以外の用途や原料にご使用希望の場合、弊社営業部門にお問合せください。
- 【医薬品原料】
- 製造専用医薬品及び医薬品添加物などを医薬品等の製造原料として製造業者向けに販売しています。製造専用医薬品(製品名に製造専用の表示があるもの)のご購入には、確認書が必要です。
- 表示している希望納入価格は「本体価格のみ」で消費税等は含まれておりません。
- 表示している希望納入価格は本記事掲載時点の価格です。