抗α-シヌクレイン抗体
α-シヌクレインの蓄積を特徴とする疾患は「シヌクレイノパチー」と呼ばれ、パーキンソン病やレビー小体型認知症、多系統萎縮症などが知られています。1997年に家族性パーキンソン病の原因遺伝子がα-シヌクレインであることが同定され、さらに孤発性パーキンソン病患者の脳内で見られるレビー小体の主要構成成分がα-シヌクレインであることが明らかとなり、パーキンソン病とα-シヌクレインの関連に注目が集まるようになりました。
レビー小体に蓄積したα-シヌクレインはほぼすべてりん酸化されており、パーキンソン病の発症や進行においてα-シヌクレインのりん酸化がどのように関与するのか研究が進められています。当社ではセリン129残基がりん酸化されたα-シヌクレインに対して特異的に反応するマウスモノクローナル抗体を販売しています。本製品はりん酸化されていないα-シヌクレインには反応せず、蓄積したりん酸化α-シヌクレインのみ認識するため、免疫組織染色におけるレビー小体の観察やウエスタンブロッティングにおけるりん酸化α-シヌクレインの検出に利用できます。
α-シヌクレインとは?
α-シヌクレイン (α-Syn: α-Synuclein) は140アミノ酸からなるタンパク質です。ヒトのシヌクレインにはα-、β-、γ-の3種類があり、α-シヌクレインとβ-シヌクレインは中枢神経系のシナプス前終末に豊富に存在しています1)。一方、γ-シヌクレインは神経系にはほとんど発現しておらず、乳がんや卵巣がんとの関連が報告されています2-3)。シヌクレインの生体内での機能は未だ明らかではありませんが、α-シヌクレインについては神経伝達物質の放出4)やシナプス小胞の形成・集積5-6)に関与していると考えられています。
α-シヌクレインは線維化しやすく、凝集したα-シヌクレインは脳内に蓄積し、細胞毒性を示すと考えられています。α-シヌクレインの蓄積を特徴とする疾患は「シヌクレイノパチー」と呼ばれ、パーキンソン病やレビー小体型認知症、多系統萎縮症などが知られています。1997年に家族性パーキンソン病の原因遺伝子がα-シヌクレインであることが同定され7)、さらに孤発性パーキンソン病患者の脳内で見られるレビー小体の主要構成成分がα-シヌクレインであることが明らかとなり8-9)、パーキンソン病とα-シヌクレインの関連に注目が集まるようになりました。なお生化学的な解析からレビー小体を形成するα-シヌクレインはりん酸化やユビキチン化などの翻訳後修飾を受けていることが明らかになっています。特に蓄積したα-シヌクレインはほぼすべてりん酸化されており、パーキンソン病の発症や進行においてα-シヌクレインのりん酸化がどのように関与するのか研究が進められています。
これまでの研究で、何らかの理由で線維化・異常蓄積したα-シヌクレインが神経細胞死を誘導することがパーキンソン病の原因の1つではないかと考えられています。しかしながら細胞毒性を示す本体が凝集したα-シヌクレインなのか、もしくはその中間体やそれより前のα-シヌクレイン線維なのかについては議論が続いています。近年ではα-シヌクレイン線維が細胞間を伝播することが報告され10)、その伝播にエクソソームなどの細胞外小胞 (EV) が関与している可能性が示唆されています11)。これらの細胞間伝播はパーキンソン病の発症や進行において重要なステップであると考えられており、そのメカニズム解明に期待が寄せられています。
抗りん酸化α-シヌクレイン, モノクローナル抗体 (pSyn#64)
本製品はセリン129残基がりん酸化されたα-シヌクレインに対して特異的に反応するマウスモノクローナル抗体です。パーキンソン病やレビー小体型認知症で見られるレビー小体中のα-シヌクレインはセリン129残基がりん酸化されていることが知られています12-13)。本製品はりん酸化されていないα-シヌクレインには反応せず、蓄積したりん酸化α-シヌクレインのみ認識するため、免疫組織染色におけるレビー小体の観察やウエスタンブロッティングにおけるりん酸化α-シヌクレインの検出に利用できます。
抗体情報
| 抗体種 | モノクローナル抗体 (クローンNo. pSyn#64) |
|---|---|
| 抗原 | セリン129がりん酸化されたヒトα-シヌクレインの124-134残基 |
| 免疫動物 | マウス |
| 組成 | 血清含有培地上清、0.05% アジ化ナトリウム |
| 標識 | 未標識 |
| 交差性 | ヒト、マウス、ラット (セリン129がりん酸化されたα-シヌクレイン) |
| アプリケーション | 免疫組織染色 1:1,000-10,000 ウエスタンブロッティング 1:1,000-10,000 |
アプリケーションデータ
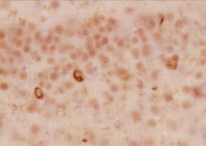
免疫組織染色

| 動物種 | ヒト (レビー小体型認知症患者) |
| 部位 | 脳 |
<データ提供>
東京大学大学院 医学系研究科 岩坪先生
シヌクレイノパチー患者の皮膚生検におけるりん酸化α-シヌクレインの検出
Gibbsonsら (JAMA, 331(15), 1298(2024)) 14)は、当社の抗りん酸化α-シヌクレイン, モノクローナル抗体 (pSyn#64) を用いたα-シヌクレインの皮膚生検によって、パーキンソン病や多系統萎縮症、レビー小体型認知症などのシヌクレイノパチーが検出できるかどうかを検証した。
| 診断 | りん酸化α-Syn陽性※1 | りん酸化α-Syn陰性※2 | りん酸化α-Syn陽性患者の割合 (95% CI) | |
|---|---|---|---|---|
| シヌクレイノパチー | 213 | 10 | 95.5% (91.9 - 97.8%) | |
| パーキンソン病 | 89 | 7 | 92.7% (85.6 - 97.0%) | |
| 多系統萎縮症 | 54 | 1 | 98.2% (91.7 - 99.9%) | |
| レビー小体型認知症 | 48 | 2 | 96.0% (86.3 - 99.5%) | |
| 原発性振戦 | 22 | 0 | 100% (84.6 - 100%) | |
| シヌクレイン病歴なし | 4 | 116 | 3.3% (1.3 - 8.0%) | |
(文献14をもとに作成)
※1 少なくとも1生検でりん酸化α-シヌクレインが陽性
※2 すべての生検でりん酸化α-シヌクレインが陰性
[結果]
皮膚生検により検出されたりん酸化α-シヌクレイン陽性皮膚組織の割合は、パーキンソン病で92.7%、多系統萎縮症で98.2%、レビー小体型認知症で96.0%、原発性振戦で100%であった一方、シヌクレイン病歴なし(対照群)では3.3%だった (表1)。
抗りん酸化α-シヌクレイン, モノクローナル抗体 (pSyn#64), ビオチン結合
本製品はビオチン標識した抗りん酸化α-シヌクレイン, モノクローナル抗体 (pSyn#64) です。ペルオキシダーゼ結合ストレプトアビジンと組み合わせたアビジン-ビオチン複合体法 (ABC法) などで、りん酸化α-シヌクレインを低バックグラウンドで検出することが可能です。
抗体情報
| 抗体種 | モノクローナル抗体 (クローンNo. pSyn#64) |
|---|---|
| 抗原 | セリン129がりん酸化されたヒトα-シヌクレインの124-134残基 |
| 免疫動物 | マウス |
| 組成 | D-PBS、0.05% アジ化ナトリウム |
| 標識 | ビオチン標識 |
| 交差性 | ヒト、マウス、ラット (セリン129がりん酸化されたα-シヌクレイン) |
| アプリケーション | 免疫細胞染色 1:200-5,000 免疫組織染色 1:200-5,000 |
アプリケーションデータ
免疫組織染色

+
ビオチン標識二次抗体

+
ABC法
| 動物種 | マウス (6ヶ月齢、野生型、凝集α-シヌクレインを脳内に注入) |
| 部位 | 線条体 |
| サンプル | 50 µm厚 ビブラトーム切片 |
| 抗体濃度 | 1:1,000 |
| 染色法 | DAB染色 |
<データ提供>
東京大学大学院 医学系研究科 桑原先生、岩坪先生
[結果]
ビオチン標識抗体とABC法を組み合わせることで、二次抗体を用いた場合よりもバックグラウンドが抑えられ、明瞭に染色できた。
抗体のバルク供給について
当社では、本製品のバルク供給 (mgスケール) にも対応しています。抗体活性 (力価) やタンパク質濃度の試験も実施可能です。ご希望の方は当社() までお問い合わせください。
- ご依頼の内容によっては供給できない、あるいは納品にお時間がかかる場合がございますのであらかじめご了承ください。
- 製品によっては営利・商業目的に使用できない場合がございます。営利・商業目的で利用される際は当社までお問い合わせください。
参考文献
- Goedert, M.: Nat. Rev. Neurosci., 2(7), 492(2001).
Alpha-synuclein and neurodegenerative diseases - Ji, H. et al.: Cancer Res., 57(4), 759(1997).
Identification of a breast cancer-specific gene, BCSG1, by direct differential cDNA sequencing - Jia, T. et al.: Cancer Res., 59(3), 742(1999).
Stimulation of breast cancer invasion and metastasis by synuclein γ - Chandra, S. et al.: Proc. Natl. Acad. Sci. USA, 101(41), 14966(2004).
Double-knockout mice for alpha- and beta-synucleins: effect on synaptic functions - Burré, J. et al.: Science, 329(5999), 1663(2010).
Alpha-synuclein promotes SNARE-complex assembly in vivo and in vitro - Suzuki, C. et al.: Biochim. Biophys. Acta Mol. Basis Dis., 1870(8), 167494(2024).
Direct evidence for ultrastructures of the α-synuclein-associated synaptic vesicle pool in presynaptic terminals - Polymeropoulos, M. H. et al.: Science, 276(5321), 2045(1997).
Mutation in the alpha-synuclein gene identified in families with Parkinson's disease - Baba, M. et al.: Am. J. Pathol., 152(4), 879(1998).
Aggregation of alpha-synuclein in Lewy bodies of sporadic Parkinson's disease and dementia with Lewy bodies - Spillantini, M. G. et al.: Nature, 388(6645), (1997).
Alpha-synuclein in Lewy bodies - Li, J. Y. et al.: Nat. Med., 14(5), 501(2008).
Lewy bodies in grafted neurons in subjects with Parkinson's disease suggest host-to-graft disease propagation - Stuendl, A. et al.: Brain, 139, 481(2016).
Induction of α-synuclein aggregate formation by CSF exosomes from patients with Parkinson's disease and dementia with Lewy bodies - Fujiwara, H. et al.: Nat. Cell Biol., 4(2), 160(2002).
alpha-Synuclein is phosphorylated in synucleinopathy lesions - Saito, Y. et al.: J. Neuropathol. Exp. Neurol., 62(6), 644(2003).
Accumulation of phosphorylated alpha-synuclein in aging human brain - Gibbons, C. H. et al.: JAMA, 331(15), 1298(2024).
Skin Biopsy Detection of Phosphorylated α-Synuclein in Patients With Synucleinopathies
製品一覧
- 項目をすべて開く
- 項目をすべて閉じる
抗りん酸化α-シヌクレイン, モノクローナル抗体 (pSyn#64)
抗りん酸化α-シヌクレイン, モノクローナル抗体 (pSyn#64), ビオチン結合
- 掲載内容は本記事掲載時点の情報です。仕様変更などにより製品内容と実際のイメージが異なる場合があります。
- 掲載されている製品について
- 【試薬】
- 試験・研究の目的のみに使用されるものであり、「医薬品」、「食品」、「家庭用品」などとしては使用できません。
- 試験研究用以外にご使用された場合、いかなる保証も致しかねます。試験研究用以外の用途や原料にご使用希望の場合、弊社営業部門にお問合せください。
- 【医薬品原料】
- 製造専用医薬品及び医薬品添加物などを医薬品等の製造原料として製造業者向けに販売しています。製造専用医薬品(製品名に製造専用の表示があるもの)のご購入には、確認書が必要です。
- 表示している希望納入価格は「本体価格のみ」で消費税等は含まれておりません。
- 表示している希望納入価格は本記事掲載時点の価格です。