It has been added to the cart.

It has been added to the comparison table.

Silver Protein

for Pathology Research
Manufacturer :
FUJIFILM Wako Pure Chemical Corporation
Storage Condition :
Keep at RT.
  • Structural Formula
  • Label
  • Packing
SDS
Comparison
Product Number
Package Size
Price
Availability
Certificate of Analysis
Purchase
Distributor
198-18101
Barcode No
4548995051578
3G
List Price
179.00 USD

In stock in Japan

Document

SDS
Product Specification Sheet
Package Insert
Spectral Data
Certificate of Analysis
Calibration Certificate
Analytical Charts

Stained sample

  • 02907774_img01.jpg
    Fig. 1 Cerebellum
    Axon (black), Purkinje cell (reddish purple),
    granulocyte (reddish purple).
  • 02907774_img02.jpg
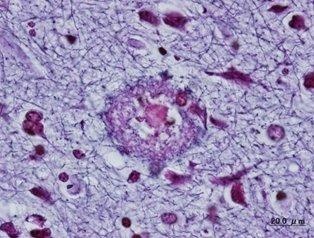
    Fig 2 Cerebrum
    Senile plaque (reddish purple) and amyloid core (red)
  • 02907774_img03.jpg
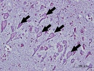
    Fig.3 Cerebrum
    Neurofibrillary tangle (arrow, reddish purple - blackish brown)
  • 02907774_img04.jpg
    Fig. 4 Cerebrum (Pick disease)
    Pick body (arrow, reddish brown)

Staining property

Axon: black
Purkinje cell and granular layer (cerebellum): reddish purple
Cerebellar cortex: light purple

Histologic features in neurodegenerative disease

Senile plaque: reddish purple (amyloid core: red)
Neurofibrillary tangle: neurofibrillary tangle (red - blackish purple)
Pick body (Pick disease): reddish brown

Examples of staining protocol

Overview of Bodian staining

02907774_img05.png

Bodian staining protocol

1.1% Silver protein solution
2.Copper particles
Weigh 0.5 g of silver protein into a Coplin jar, and add 50 mL of distilled water. Wait for dissolution (for about 1 hour).
02907774_img06.png
※To shorten your experimental time, dissolve in a beaker etc. and mix gently with a stirrer.
Add 4 g of copper particles.
02907774_img07.png
3.Place the slide to be tested in the Coplin jar.
4.Allow to stand overnight in 40°C incubator (for about 12-18 hrs).
Approximately 6 slides per 50 mL are recommended.
02907774_img08.gif
Caution should be exercised to avoid excessive black coloration due to an excessive silver reaction caused by an extended incubation.
02907774_img09.gif
5.Preparation of reducing solution
6.Reduction treatment
【Composition】

Distilled water・・・100 mL
Hydroquinone・・1 g
Formalin・・・5 mL
02907774_img10.png
7.Gold chloride treatment
8.1% Oxalic acid treatment
After reduction treatment, wash with water for 3 minutes followed by the treatment below. The sample turns white first, followed gradually by brownish coloration.
02907774_img11.png
Reddish purple coloration is gradually seen.
02907774_img12.png
9.Fixing
10.Dehydration, clearing, mounting
02907774_img13.png
Precautions
  1. Standard procedures may be used for staining, but please avoid extended silver reaction.
  2. Because successful staining requires appropriate temperature and time, please use experimental conditions well adapted to your institution.
  3. Fixation performance is highest with acidic formalin, followed by neutral buffered formalin, and then by paraformaldehyde; an extended fixation time is not expected to affect fixation performance.

Overview / Applications

Outline This product is for research use only. Do not administer it to human.


Pathological special stains: The silver protein that can be used in the Bodian's staining.
Histological findings of neurodegenerative disease, senile plaques: red purple (amyloid core; red), Neurofibrillary tangles: Neurofibrillary tangles (red to dark purple), Pick bodies (Pick's disease): It has feature to be stained in reddish brown.

Property

Appearance Slightly brown - brown, crystalline powder - powder or mass

Manufacturer Information

Alias

For research use or further manufacturing use only. Not for use in diagnostic procedures.

Product content may differ from the actual image due to minor specification changes etc.

If the revision of product standards and packaging standards has been made, there is a case where the actual product specifications and images are different.