Immunostep社 エクソソーム標準品
Immunostep社は、細胞培養上清、ヒト血漿、血清などのさまざまな生物学的サンプルから超遠心法により単離された凍結乾燥エクソソーム標準品を提供しています。
製品概要
本製品は、密度勾配超遠心法により単離され、複数のアプリケーションのコントロール、生物学的サンプルからのバイオマーカーのキャリブレーション標準品として使用できます。
特長
- 高純度のエクソソームで、高いパフォーマンスを発揮
- 独自の凍結乾燥法により安定性を保証
- WB、NTA、フローサイトメトリーおよび in vitroでの機能解析によるバッチごとの徹底的な検証
データ
フローサイトメトリー、NTA、 WBでの機能解析による保証された性能
全てのエクソソーム標準バッチはFCM、WB、NTA分析を用いて検証されています。 また、凍結乾燥による影響を比較するため、全ての凍結乾燥バッチにおいて-20 ℃で保存した新鮮なエクソソームと比較しています。


フローサイトメトリーにより、新鮮なエクソソーム (左上図) と凍結乾燥したエクソソーム (右下図) の様々なエクソソーム濃度におけるバックグラウンドノイズと特異的シグナルを比較した。
エクソソームはCD63+ (Clone TEA3/18) Capture Beadsによって補足され、Anti-CD9PE (Clone VJ1/20) によって検出された。
ナノ粒子追跡分析 (NTA) によるエクソソームの特長


NTA、NanoSight LM10HSBを用いて新鮮な血清エクソソーム (左上図) と凍結乾燥した血清エクソソーム (右下図) の粒子径と濃度を比較した。
1 μLの精製エクソソームを999 μLのHEPES緩衝液で希釈した (希釈度1:1000)。
精製されたエクソソームは、50~150 nmのピーク径を持つサイズ分布プロファイルを示し、濃度は約 1×1010 particle/mL であった。

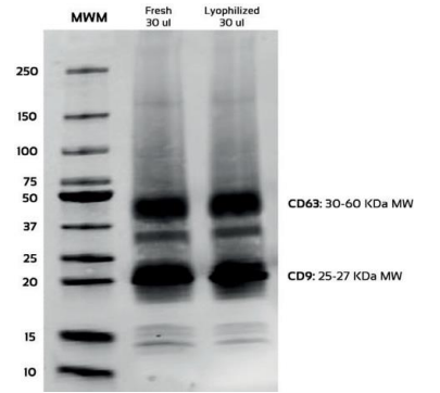
新鮮なMCF-7エクソソームバッチと凍結乾燥したMCF-7エクソソームバッチを、エクソソームマーカーについてネイティブ条件下でWBにより分析し、比較した。
エクソソームマーカーとして、抗CD9抗体 (クローンVJ1/20) と抗CD63抗体 (クローンTEA3/18) を 0.1 mg/mL 用いた。
製品一覧
- 項目をすべて開く
- 項目をすべて閉じる
エクソソーム標準品
- 掲載内容は本記事掲載時点の情報です。仕様変更などにより製品内容と実際のイメージが異なる場合があります。
- 掲載されている製品について
- 【試薬】
- 試験・研究の目的のみに使用されるものであり、「医薬品」、「食品」、「家庭用品」などとしては使用できません。
- 試験研究用以外にご使用された場合、いかなる保証も致しかねます。試験研究用以外の用途や原料にご使用希望の場合、弊社営業部門にお問合せください。
- 【医薬品原料】
- 製造専用医薬品及び医薬品添加物などを医薬品等の製造原料として製造業者向けに販売しています。製造専用医薬品(製品名に製造専用の表示があるもの)のご購入には、確認書が必要です。
- 表示している希望納入価格は「本体価格のみ」で消費税等は含まれておりません。
- 表示している希望納入価格は本記事掲載時点の価格です。