ギンレイラボ CuPS Array kit all in one kit

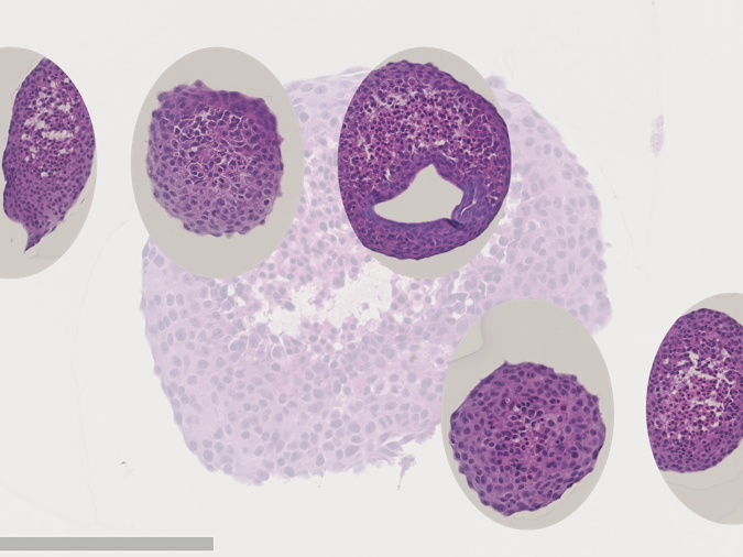
スフェロイドはサイズが小さいため標本作成が難しく、これまで簡単に作成できませんでした。
CuPS Array kit all in one kitはCuPSで作成したスフェロイドに対してパラフィン包埋までの過程を簡単に行うことができるキットです。
4サンプルまでの異なる実験条件のスフェロイド集団をまとめて1つのプレパラートで処理ができるためスフェロイドに発現している特定のタンパク質の割合などのデータを1回の実験で得ることができます。


特長
- CuPS(別売)によるスフェロイド形成~パラフィン包埋までの過程が容易
- 4つまでの異なる実験条件のスフェロイド集団を1つのプレパラート標本作成が可能
※本キットはスフェロイド標本作成を保証するものではありませんのでご注意ください。
スフェロイド標本作成の課題
- 微細検体を取り扱い時の難しさ
スフェロイドはサイズが極小であるためピンセットは使用できません。ピペットや円筒形の吸引治具などを用いてスフェロイド周辺の液体とともに取り扱う必要があります。

スフェロイド形成において、微細区画加工したものを用いる方法以外ではスフェロイドの形成位置が一定しないため、複数の検体を同時に取り出したりするなどが困難です。

- 複数のスフェロイド検体の標本化処理の難しさ
サイズが小さいため、スフェロイドの位置を同一平面状に揃えることができずスライスできない検体が出てしまいます。
そのため、スフェロイドを底面に接着あるいは同一面に維持したまま化学的な検体処理を行い、最終段階まで水平面を保つ必要があります。
キット構成
① CuPSベースカセット:1個
② パラフィンベースカセット:1個
③ 薬液処理ベースカセット:1個
④ 包埋カセット:5個
⑤ ゲルミニマナイザー:1個

● キット以外に必要なもの
- UniWells™ CuPS Φ1.0(コードNo.:381-23601)もしくはUniWells™ CuPS Φ5.0(コードNo.:388-23591)
CuPSの詳細はこちら - UniWells™ Fitting rod Nylon(コードNo.:385-23861)
※ 必須ではありませんが、あるとCuPSの取り扱いが便利です。 - スフェロイドの固定に用いるアガロース(推奨製品:Invitrogen UltraPure Agarose REF 16500-100)
- パラフィン(推奨製品:パソプレップ® 546(コードNo.:167-20501) ※ 融解温度:54~56 ℃)
- G-NOX
- パラフィン加熱用ヒートブロック、アルミケース等
- 薬液処理用容器(エタノール、G-NOX、パラフィン耐性のもの)
プロトコール
詳細なプロトコールにつきましてはお問い合わせください。
- 転写ゲルの準備
アガロースゲル 1.2 gを純水60 mLに入れ(ゲル濃度2 %)加熱して溶解ゲルを作成する。
- サンプルの前処理
CuPSで作成したスフェロイドをホルマリン液で1時間固定し、その後エタノール溶液(70-80 %)もしくはPBSで保管しておく。
- CuPSをベースカセットに挿入
2.で処理したサンプルについて、PBS保存の場合は80 %エタノール溶液にCuPSを浸し、濡れたままの状態で取り出す。
CuPS周囲のエタノールはキムワイプなどでふき取る。(CuPS外側にあるFitting rod用の溝のエタノールもふき取る。)
内腔のスフェロイド部分のエタノールが乾ききってしまうと転写用ゲルが入っていかないので注意する。(湿らせた状態にする。)
CuPSをベースカセットにはめ込む。(奥まではめ込んでいることを確認)
※Fitting rodを使うとセットしやすい。
- 転写ゲルを注入し固める
ベースカセットに包埋カセットをセットし、1.で用意したゲルを包埋カセットのくぼみに注ぎ入れる。(6割程度を目安)
ゲルミニマナイザーを挿入し、ゲルが溢れても気にせずある程度固まるまで押さえておく。(4 ℃、10分程度で固まる。)
ゲルが固まったらゲルミニマナイザーを取り外し、余分なゲルを取り除く。
※ゲルミニマナイザーは使い捨てではありませんので破棄しないでください。
- 転写カセットの取り外し
ベースカセットから包埋カセットを丁寧に取り外す。(外しにくい場合はマイナスドライバーを使用)
包埋カセットのゲルにスフェロイドが転写されているが、ゲル側にCuPSがついている場合はピンセットを用いて取り除く。
- ゲル脱水・エタノール~中間体(G-NOX)への置換工程
薬液処理ベースに包埋カセットをセットし、エタノール置換を行う。
※必ずエタノール、中間体(G-NOXなど)、パラフィンなどに耐性で蓋のある容器に入れて処理を行う。
その後中間体(G-NOXなど)を用いて置換を行う。(処理完了の段階でゲルが透明になっていないと次の工程が上手くいかないため注意が必要。)
- パラフィン置換工程
ヒートブロックなどを用いてパラフィンを60 ℃に加熱しながら置換を行う。

- パラフィン包埋工程
パラフィンベースカセットに新しいパラフィンを注ぎ、包埋カセットを気泡が入らないように素早くはめ込む。
上面からもパラフィンを注入、4 ℃で30分-1時間ほど冷蔵保存し、パラフィンを完全に固める。
- パラフィン取り出し
パラフィンが完全に固まったらパラフィンベースカセットから取り外し(外しにくい場合はマイナスドライバーを使用)、薄切工程へ。

製品一覧
- 項目をすべて開く
- 項目をすべて閉じる
UniWells™ CuPS標本化キット
UniWells™ CuPS
消耗品
- 掲載内容は本記事掲載時点の情報です。仕様変更などにより製品内容と実際のイメージが異なる場合があります。
- 掲載されている製品について
- 【試薬】
- 試験・研究の目的のみに使用されるものであり、「医薬品」、「食品」、「家庭用品」などとしては使用できません。
- 試験研究用以外にご使用された場合、いかなる保証も致しかねます。試験研究用以外の用途や原料にご使用希望の場合、弊社営業部門にお問合せください。
- 【医薬品原料】
- 製造専用医薬品及び医薬品添加物などを医薬品等の製造原料として製造業者向けに販売しています。製造専用医薬品(製品名に製造専用の表示があるもの)のご購入には、確認書が必要です。
- 表示している希望納入価格は「本体価格のみ」で消費税等は含まれておりません。
- 表示している希望納入価格は本記事掲載時点の価格です。
